血液腫瘤科/細胞治療中心/台灣細胞免疫醫學會 陳駿逸醫師
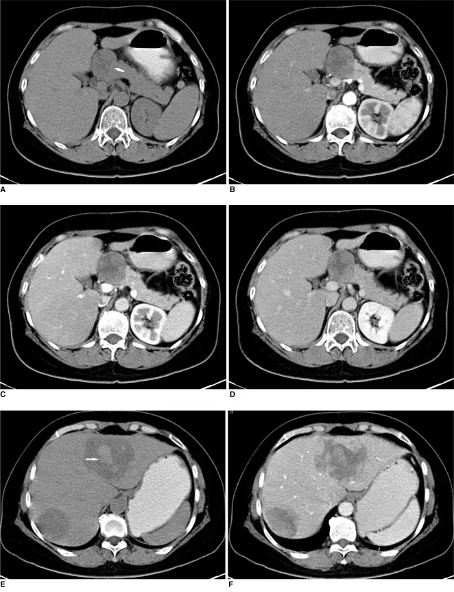
一名 57 歲女性因上腹部腫塊被送入醫院進一步評估,該腫塊在體檢時腹部超音波檢查中偶然被發現。患者出現反覆腹脹,無其他症狀。她的病史平常,除了兩年前診斷出膽囊菌石症和脂肪肝以外,並無特別異常。入院時,身體檢查顯示輕微肝擊痛,但未觸診腫塊。實驗室檢測顯示α胎兒蛋白(AFP)> 35,350 ng/ml(參考:< 20 ng/ml)含量極高。CA19-9、CA125、血液澱粉酶、天冬氨酸轉移酶(AST)、丙氨酸轉移酶(ALT)及膽紅素水準均在正常範圍內。在靜脈注射顯影劑後,進行了腹部對比劑前及增強螺旋的電腦斷層檢查,包括動脈期、門脈期及平衡期。電腦斷層顯示胰臟頸部及本體有一個直徑 4.5 公分、邊緣平滑、孤立且異質的腫塊( 見圖 A)。在顯影後電腦斷層之影像中,腫塊呈現中度不均勻增強,伴隨中央低衰減( 圖 B-D)。肝臟發現兩個低密度病灶,分別測量為 4.7×4.3 公分及 7.0×6.8 公分,顯示出極少的彌漫性異質增強( 圖 1E、F)。左側肝葉大塊高密度顯示為腫塊內有中心性出血。

由於胰臟癌有時會伴隨 AFP數值的升高(但不像本患者那麼高),且較常見肝臟轉移,初步診斷為傳統胰臟腺癌。患者接受fluorouraci、四氫葉酸及順鉑等術前輔助化療,但效果有限,血清 AFP 水平也未下降。進行了探索性腹腔切除手術。在胰臟頸部及身體中發現了一個直徑約 4 公分的包覆性腫塊。此外,在第三、第四及第七肝段發現兩個轉移性病灶,大小分別為 5.0×4.0 公分及 4.0×3.0 公分。進行腫瘤切除術,包括原發性胰臟腫瘤及右側肝轉移腫塊。左側肝腫塊則進行肝段切除術(第二、第三節段及第四段部分)。大轉移病灶確認中心出血。病理診斷顯示胰臟有惡性卵黃囊腫瘤。在顯微鏡下,腫瘤細胞排列為典型的網狀或腺體型態。13 個淋巴結剝離中有 8 個涉及腫瘤。免疫組織化檢查顯示腫瘤細胞對 AFP、胎盤鹼性磷酸酶(PLAP)及致癌胚胎抗原(CEA)彌漫性染色,但 CA19-9 為陰性。
手術後 AFP 水平明顯下降(術後第 3、9 及 25 天分別為 2,097、>1,200、>500 ng/ml)。為排除原發性腺生殖細胞腫瘤的存在,對該患者生殖系統進行了進一步的臨床及超音波檢查,但未發現異常。手術一個月後,患者接受了 BEP 方案(博來霉素、依托泊苷及順鉑)的全身性化療。共進行三個療程,療程間隔三週。化療期間,重複做了電腦斷層掃描,結果發現胰臟沒有腫瘤復發。
卵黃囊瘤(Yolk Sac Tumor,簡稱YST)是一種罕見且高度惡性的生殖細胞腫瘤(Germ cell tumor,簡稱GCT)。 GCT 包含了多種腫瘤,其中以畸胎瘤最為常見,而卵黃囊腫瘤是最常見的惡性 GCT 類型。 卵黃囊腫瘤也被稱為內胚層竇腫瘤或泰倫腫瘤,是一種生殖細胞腫瘤。卵黃囊瘤多見於嬰幼兒及青少年,中位發病年齡為 19 歲。原發性卵黃囊瘤被認為是高度惡性的腫瘤,主要發生在睪丸或卵巢,10%至 15%的病例可發生於身體各種中線的性腺外部位,也就是primary extragonadal GCTs,例如:縱膈腔、腹膜後、骶尾部和松果體(依發生頻率遞減順序排列)。
目前有3種主要理論試圖解釋原發性性腺外之生殖細胞腫瘤的存在,第一是原始細菌的異常遷移,這些細菌在胚胎發生時並非向性腺遷移,而是遷移到其他位置。第二個假說是轉化後的生殖細胞進行逆向遷移,細胞抵達生殖腺後仍繼續遷移至次要位置。第三種假說是體細胞的異常分化,胚胎發育無問題,但體細胞在生殖腺中經歷了類似生殖細胞的分化。
一般而言,縱隔、薦尾區、大腦、腹膜後空間及女性生殖道是原發性性腺外之生殖細胞腫瘤相對常見的位置。極罕見的部位如肝臟、腎臟、網膜、胃、脊髓等也曾被報導。
胰臟的生殖細胞腫瘤,尤其是胰臟卵黃囊腫瘤是極為罕見。它們常與較常見的癌症類型共存,例如:腺癌。 基因組分析顯示,TP53 與 KRAS 是胰臟卵黃囊腫瘤中最常突變的基因。這些腫瘤可能長得很大,症狀非常少。罹患這種性腺外的生殖細胞腫瘤-胰臟卵黃囊腫瘤的患者可能出現腹痛或腹脹、背痛、貧血、體質症狀,甚至可見腫塊或血管阻塞等症狀。
由於胰臟卵黃囊腫瘤是極為稀有,手術前要診斷出胰臟卵黃囊腫瘤是極為較為困難。血清腫瘤指數的AFP數值會顯著上升,這成為可能診斷的線索。胰臟卵黃囊腫瘤的電腦斷層影像發現常是大而光滑、邊緣良好、增強良好的固體腫塊,並帶有囊性、出血或壞死部分。內視鏡超音波引導的細針抽吸可能是胰臟卵黃囊腫瘤的有效診斷方式,切片標本的組織病理學可提供明確診斷。
胰臟卵黃囊腫瘤可透過多種結構模式辨識,包括網狀、微囊性、乳頭狀及典型的 Schiller-Duvall 體,這些體由包圍毛細血管的立方體或柱狀腫瘤細胞單層組成,薄壁血竇或小型血管。在免疫組織化學上,胰臟卵黃囊腫瘤的特徵是細胞角蛋白CK-8、CK-18、AE1/AE3、glypican 3、CD117、CD30、AFP、PLAP 及 OCT3/4 的組合。Sal 樣蛋白 4(SALL-4)也可能是胰臟卵黃囊腫瘤的敏感診斷標記。
手術切除結合術後輔助化療是胰臟卵黃囊腫瘤的首選治療方式。化療可以提升胰臟卵黃囊腫瘤的患者的存活率,因為胰臟卵黃囊腫瘤的對順鉑類化療呈現高度敏感。然而,許多胰臟卵黃囊腫瘤的患者呈現晚期局部疾病及遠處轉移。在此情況下,完全外科切除手術很少可行,預後也不佳。
#胰臟卵黃囊腫瘤
#卵黃囊腫瘤
#生殖細胞腫瘤
#Germ cell tumor
#GCT
#畸胎瘤
#性腺外之生殖細胞腫瘤
#extragonadal
#YST
#陳駿逸醫師
#台中市全方位癌症關懷協會
陳駿逸醫師醫療門診服務時段
https://mycancerfree.com/contact/
更多陳駿逸醫師的癌症衛教影片請連接https://www.youtube.com/@mycancerfree
更多腫瘤治療相關資訊 請連接”陳駿逸醫師 與你癌歸於好” https://mycancerfree.com






